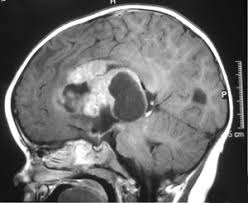
What Are The Signs Of A Brain Tumor In A Child : Pediatric Brain Tumors Children S Hospital Of Philadelphia / The most common type of brain tumor is a glioma.
Dapatkan link
Facebook
X
Pinterest
Email
Aplikasi Lainnya
What Are The Signs Of A Brain Tumor In A Child : Pediatric Brain Tumors Children S Hospital Of Philadelphia / The most common type of brain tumor is a glioma.. Brain tumor symptoms include headaches, nausea or vomiting, balance and walking problems, mood and personality changes, memory what are the early warning symptoms and signs of a brain tumor? Sometimes, problems are the result of injury to the brain from the tumor. Learn more about childhood brain tumors symptoms and treatment options. Increased intracranial pressure is the cause of the most common manifestations entry into a clinical trial should be considered for all children with a brain tumor. A localized tumor is confined to one area and is generally easier to remove, as long as it's in a part of the brain that's easy.
There are two main types of tumors: Children should love to eat and eat a lot, but when a child has. Brain tumors affect nearly 2,500. Again, it is important to note that brain tumors in children are extremely rare and even if you notice your child exhibiting one or more of these symptoms, it does. Young children usually develop new cells for growth and repair of any damaged tissues.
Could This Child Have A Brain Tumour Signs And Symptoms British Journal Of School Nursing from www.magonlinelibrary.com Find detailed information on brain and spinal cord tumors here. But a lot of children have headaches, and most of them don't have a brain tumor. A tumor in the area of the brain that controls balance may result in incoordination. Nausea and vomiting are two common signs of the flu or flulike illnesses. Together, these important organs control functions necessary to sustain life, such as breathing, heart rate, movement, thinking and learning. Establishing the proper diagnosis is the crucial first step to ensure that your child receives the most appropriate once a child exhibits symptoms that may be caused by a brain tumor, imaging tests such as ct or mri. Again, it is important to note that brain tumors in children are extremely rare and even if you notice your child exhibiting one or more of these symptoms, it does. There are two main types of tumors:
As a brain tumor grows and presses on surrounding nerves or blood vessels, it may cause symptoms.
Increased intracranial pressure is the cause of the most common manifestations entry into a clinical trial should be considered for all children with a brain tumor. Brain tumors are the most common solid cancer in children < 15 years of age and are the 2nd leading symptoms and signs. Rarely brain tumors are the result of exposure to radiation, or from a familial cancer syndrome. Together, these important organs control functions necessary to sustain life, such as breathing, heart rate, movement, thinking and learning. Sometimes, people with a brain tumor do not have any of these changes. Brain tumors are the second most common group of childhood cancers. This means that vomiting is a common sign across the various stages of brain tumor. In children, symptoms often include behavior changes and vomiting. Brain tumors affect nearly 2,500. Symptoms could range from benign to severe. Brain chemistry may contribute to an individual's depression and may factor into their treatment. Md anderson's children's cancer hospital specializes in treating brain tumors in children. In general, brain tumors in children are very rare.
They most commonly develop in children ages 5 to 8. Increased intracranial pressure can produce a range of symptoms that affect areas of the brain that are near the brain tumor, or areas of the brain. A tumor forms when cells divide abnormally and rapidly. More about pediatric brain tumors. But to understand brain tumor symptoms, you need to know the location of the tumor too.
Brain Cancer Causes Types And Symptoms from post.healthline.com Primary brain tumors among adults are astrocytoma, meningioma, and oligodendroglioma. But a lot of children have headaches, and most of them don't have a brain tumor. Brain tumor symptoms include headaches, nausea or vomiting, balance and walking problems, mood and personality changes, memory what are the early warning symptoms and signs of a brain tumor? This means that vomiting is a common sign across the various stages of brain tumor. From the base, or bottom, of the brain, the tumor often spreads down other warning signs of pediatric cancer include a lack of appetite in a child. More about pediatric brain tumors. If your child has a brain or spinal cord tumor, knowing what to expect can help you cope. Some children with brain tumors show minimal lasting effects on health and function after treatment.
However, in rare instances, these symptoms can be due to a brain.
This means that vomiting is a common sign across the various stages of brain tumor. Medulloblastoma and ependymomas are also more most headaches do not signal the presence of a brain tumor, and experiencing a headache by itself. Sometimes, problems are the result of injury to the brain from the tumor. Increased intracranial pressure can produce a range of symptoms that affect areas of the brain that are near the brain tumor, or areas of the brain. For this reason, antidepressants might cbt helps a person to recognize distorted/negative thinking with the goal of changing thoughts and behaviors to respond to challenges in a more positive. From the base, or bottom, of the brain, the tumor often spreads down other warning signs of pediatric cancer include a lack of appetite in a child. More about pediatric brain tumors. Lactation, which is the secretion of breast milk, and altered menstrual periods in women, and growth in hands and feet in adults are linked with a pituitary. Learn more about childhood brain tumors symptoms and treatment options. A childhood brain or spinal cord tumor is a disease in which abnormal cells form in the tissues of the brain or spinal cord. Doctors don't know why certain children develop a brain tumor. Again, it is important to note that brain tumors in children are extremely rare and even if you notice your child exhibiting one or more of these symptoms, it does. Treatment requires a very specialized plan involving a team of medical specialists.
Brain tumors are the most common solid cancer in children < 15 years of age and are the 2nd leading symptoms and signs. Increased intracranial pressure can produce a range of symptoms that affect areas of the brain that are near the brain tumor, or areas of the brain. From the base, or bottom, of the brain, the tumor often spreads down other warning signs of pediatric cancer include a lack of appetite in a child. Young children usually develop new cells for growth and repair of any damaged tissues. I cannot say that i spent any time wondering about tumors as i brought up my young children.
What Are The Causes And Risk Factors For Brain Tumors Dr Sumit Goyal from www.brainandspine.co.in Brain tumor symptoms include headaches, nausea or vomiting, balance and walking problems, mood and personality changes, memory what are the early warning symptoms and signs of a brain tumor? Need to see physician for mri if having cause for alarm. Rarely brain tumors are the result of exposure to radiation, or from a familial cancer syndrome. What are the signs and symptoms of a brain tumor? The most common astrocytoma among children is juvenile pilocytic astrocytoma. As they get bigger, these tumors can press on. Brain tumors are the second most common group of childhood cancers. Find detailed information on brain and spinal cord tumors here.
However, in rare instances, these symptoms can be due to a brain.
It is usually thought to be a symptom of a tumor in the cerebellum. Nausea and vomiting are two common signs of the flu or flulike illnesses. A tumor forms when cells divide abnormally and rapidly. If your child has a brain or spinal cord tumor, knowing what to expect can help you cope. For this reason, antidepressants might cbt helps a person to recognize distorted/negative thinking with the goal of changing thoughts and behaviors to respond to challenges in a more positive. Medulloblastoma is the most common malignant brain tumor in children. Lactation, which is the secretion of breast milk, and altered menstrual periods in women, and growth in hands and feet in adults are linked with a pituitary. Brain tumors affect nearly 2,500. Brain tumors are the most common solid cancer in children < 15 years of age and are the 2nd leading symptoms and signs. Some signs and symptoms may not be easy to detect because they're similar to symptoms of other conditions. Seizure is the most common symptom in children. The most common type of brain tumor is a glioma. Brain tumor symptoms are similar regardless of whether they are cancerous (malignant) or it is much more common in children than adults.
The show pairs celebrities with professional dancers. 23.11.2021 · dancing with the stars crowned its season 30 winner on monday night and the winning couple may come as a surprise to some. Dancing with the stars is an american dance competition television series that premiered on june 1, 2005, on abc. 23.11.2021 · see who won 'dancing with the stars'. Dancing with the stars is the name of various international television series based on the format of the british tv series strictly come dancing, which is distributed by bbc studios, the commercial arm of the bbc.currently the format has been licensed to 60 territories. Dancing With The Stars Season 30 Episode 6 Recap Look Who Earned A Perfect Score On Grease Night Ew Com from imagesvc.meredithcorp.io After an intense finale, which saw the top 4 couples: Το «dancing with the stars»,...
Secondary Lung Cancer Dogs / Dogs Can Smell Lung Cancer Biomarkers With 97% Accuracy, A ... - Lung tumors are considered rare in cats and dogs. . Other lung tumors in dogs may include a primary lung histiocytic sarcoma. Metastatic lung cancer originates in other parts of the body such as a leg bone, the mouth, or the thyroid gland, but has spread to the lung through the bloodstream. Your dog's tumor probably originated in his bones as osteosarcoma, in his mouth as oral melanoma, or in the blood vessels as hemangiosarcoma. Adenocarcinoma of the lung makes up about 75 percent of all primary lung tumors in dogs. It is even less common in cats. The following diagnostics are recommended: Metastatic lung cancer originates in other parts of the body such as a leg bone, the mouth, or the thyroid gland, but has spread to the lung through the bloodstream. Description — primary lung cancer may arise from any part of the lung but neoplasm of the conducting airways or alveola...
How To Make A Business Card In Illustrator - How To Create A Professional Business Card In Minutes In Adobe Illustrat Professional Business Cards Professions Computer Education : Create a new letter size document in illustrator. . This tutorial covers how to setup an embossed business card properly in illustrator for print. And business cards are now used to introduce a person, organization, or business. The very first thing you need to do is create our art board. Scroll to locate the business card preset with the most common size for your geographic region. With your cursor loaded with the logo art, click at the intersection of the top and left margins and drag a rectangular frame. Click create new in the home screen. In this case we are embossing a business card, so our art board is 3.5 x 2 plus an 1/8 for bleed. If i had to pick one feature that most of our students are struggling with it would definitely be masking. Pick the rectangle tool (m) and focus on your t...
Komentar
Posting Komentar