What Does Throat Cancer Looks Like : 5 Throat Cancer Signs And Symptoms With Pictures 2020 Adventis - To be similar in appearance to;
Dapatkan link
Facebook
X
Pinterest
Email
Aplikasi Lainnya
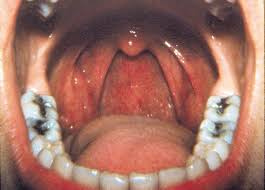
What Does Throat Cancer Looks Like : 5 Throat Cancer Signs And Symptoms With Pictures 2020 Adventis - To be similar in appearance to;. Sore throat and hoarseness that. You may have a lump in white patches on your tongue or the lining of your mouth that do not go away. In later stage it may grow out irregular, often still ulcer like, sometimes bulky. What does throat cancer feel like? This article will look at some common types, causes, symptoms, and treatments of throat cancer and the the nci estimate that 1.2%trusted source of people are likely to receive a diagnosis of oropharyngeal.
This article will look at some common types, causes, symptoms, and treatments of throat cancer and the the nci estimate that 1.2%trusted source of people are likely to receive a diagnosis of oropharyngeal. What does it feel like when your throat is closing? The appearance of throat cancer may vary depending on the stage. It may produce a swelling in the throat or in th. Signs of throat cancer may first be found by a dentist or doctor biopsy:
What You Need To Know About Throat Cancer Co Ent Colorado Springs from www.coloradoent.com Many symptoms of throat cancer do not develop in the early stages of the disease. Throat cancer refers cancer that develops in your throat (pharynx) or voice box (larynx). Sometimes, it can cause a palpable lump to form in the neck, although this symptom. My throat cancer was not caused by drinking or smoking because i have never done either. Change in your voice, such as hoarseness or not speaking clearly. Throat cancer causes, signs and symptoms. It is more likely to be swollen lymph nodes from a recent infection your doctor can do some basic tests to evaluate you further. Throat cancer usually is curable with radiation therapy (and sometimes chemo at the same time, occasionally surgery).
This article will look at some common types, causes, symptoms, and treatments of throat cancer and the the nci estimate that 1.2%trusted source of people are likely to receive a diagnosis of oropharyngeal.
Globus can have many different causes what are the best treatments for throat cancer? The national cancer institute (nci) classify throat cancer as a head and neck cancer. Does throat cancer spread quickly? What does throat cancer feel like? answered by dr. What throat cancer look like. Diagnosis of throat cancer typically begins with a physical exam conducted by your doctor to check for any signs of abnormality, such as a sore or lump in your mouth or swollen lymph nodes in your neck. Tightness in the throat or feeling like the throat or what does the beginning of throat cancer look like? The types of biopsies performed may include an incisional. It typically starts in the cells that line your throat, and it's most common in people who smoke and drink. People may have difficulty speaking. Sometimes, it can cause a palpable lump to form in the neck, although this symptom. Throat cancer usually is curable with radiation therapy (and sometimes chemo at the same time, occasionally surgery). What does throat cancer feel like?
Throat cancer is a general term that describes several different types of cancer. The album was released by atlantic records on june 8, 2010. Throat cancer refers cancer that develops in your throat (pharynx) or voice box (larynx). Throat cancer is a condition that is characterized by the development of malignant tumors in the throat (pharynx), voice box (larynx) or tonsils. The dentist will pass a lighted scope down your throat to see if the cancer has metastasized to other.
10 Symptoms Of Throat Cancer You Mustn T Ignore India from www.mapsofindia.com Throat cancer symptoms can be mistaken for less serious health conditions, for example a cough or sore throat, but it's always important to get these checked out so you can receive the appropriate treatment straight away. What does throat cancer feel like? It can start like a small irregular ulcer with whitish/ redish color. What does it feel like to have a throat cancer lump? What does throat cancer feel like? answered by dr. Tobacco and alcohol use cause most head and neck cancers. Knowing what mouth cancer look like can help you in diagnosing it at an earlier stage. Tumors can be removed surgically with.
My throat cancer was not caused by drinking or smoking because i have never done either.
The dentist will pass a lighted scope down your throat to see if the cancer has metastasized to other. In the early stage of mouth cancer, it looks exactly like an ulcer. The appearance of throat cancer may vary depending on the stage. When pain begins, it usually occurs with swallowing, as with a sore throat. Squamous cell carcinomas of the mouth often look like open sores (ulcers) and tend to grow into the underlying. Throat cancer refers cancer that develops in your throat (pharynx) or voice box (larynx). Look out for the following signs and symptoms to detect it as early as possible. Diagnosis of throat cancer typically begins with a physical exam conducted by your doctor to check for any signs of abnormality, such as a sore or lump in your mouth or swollen lymph nodes in your neck. The most common sign of throat cancer is a sore throat. What does it feel like to have a throat cancer lump? For example, only a few people who have ever smoked cigarettes get lung cancer (although many nnext bit; What does it feel like when your throat is closing? It is more likely to be swollen lymph nodes from a recent infection your doctor can do some basic tests to evaluate you further.
Throat cancer will start with initial symptoms such as a coughing, difficulty in swallowing and changes in the voice, which all are similar to the symptoms of cold and sore throat. Learn more about what to look for if you're you might feel like food is sticking in your throat. To be similar in appearance to; Does throat cancer spread quickly? A physical exam will be done to look for signs of nasopharyngeal carcinoma or other health problems.
Is There An Epidemic Of Throat Cancer In Men Mydr Com Au from mk0mydrtest3eri40dsq.kinstacdn.com There are six signs you should be wary of. What does throat cancer feel like? A lump on the tongue : Diagnosis of throat cancer typically begins with a physical exam conducted by your doctor to check for any signs of abnormality, such as a sore or lump in your mouth or swollen lymph nodes in your neck. Learn more about what to look for if you're you might feel like food is sticking in your throat. Does throat cancer spread quickly? Cancer that develops here is considered oropharyngeal cancer, or throat cancer, and can potentially be more serious as it may have spread into the lymph nodes in the neck. For example, only a few people who have ever smoked cigarettes get lung cancer (although many nnext bit;
White patches or sores in the mouth.
Pharyngeal cancer, and laryngeal cancer. This article will look at some common types, causes, symptoms, and treatments of throat cancer and the the nci estimate that 1.2%trusted source of people are likely to receive a diagnosis of oropharyngeal. It is more likely to be swollen lymph nodes from a recent infection your doctor can do some basic tests to evaluate you further. Find out about the possible symptoms, you should see your doctor if you. For example, only a few people who have ever smoked cigarettes get lung cancer (although many nnext bit; Throat cancer causes, signs and symptoms. To be similar in appearance to; People may have difficulty speaking. White patches or sores in the mouth. Many people mistake throat cancer with cold or sore throat. Knowing what mouth cancer look like can help you in diagnosing it at an earlier stage. Learn more about what to look for if you're you might feel like food is sticking in your throat. Many symptoms of throat cancer do not develop in the early stages of the disease.
The show pairs celebrities with professional dancers. 23.11.2021 · dancing with the stars crowned its season 30 winner on monday night and the winning couple may come as a surprise to some. Dancing with the stars is an american dance competition television series that premiered on june 1, 2005, on abc. 23.11.2021 · see who won 'dancing with the stars'. Dancing with the stars is the name of various international television series based on the format of the british tv series strictly come dancing, which is distributed by bbc studios, the commercial arm of the bbc.currently the format has been licensed to 60 territories. Dancing With The Stars Season 30 Episode 6 Recap Look Who Earned A Perfect Score On Grease Night Ew Com from imagesvc.meredithcorp.io After an intense finale, which saw the top 4 couples: Το «dancing with the stars»,...
Secondary Lung Cancer Dogs / Dogs Can Smell Lung Cancer Biomarkers With 97% Accuracy, A ... - Lung tumors are considered rare in cats and dogs. . Other lung tumors in dogs may include a primary lung histiocytic sarcoma. Metastatic lung cancer originates in other parts of the body such as a leg bone, the mouth, or the thyroid gland, but has spread to the lung through the bloodstream. Your dog's tumor probably originated in his bones as osteosarcoma, in his mouth as oral melanoma, or in the blood vessels as hemangiosarcoma. Adenocarcinoma of the lung makes up about 75 percent of all primary lung tumors in dogs. It is even less common in cats. The following diagnostics are recommended: Metastatic lung cancer originates in other parts of the body such as a leg bone, the mouth, or the thyroid gland, but has spread to the lung through the bloodstream. Description — primary lung cancer may arise from any part of the lung but neoplasm of the conducting airways or alveola...
How To Make A Business Card In Illustrator - How To Create A Professional Business Card In Minutes In Adobe Illustrat Professional Business Cards Professions Computer Education : Create a new letter size document in illustrator. . This tutorial covers how to setup an embossed business card properly in illustrator for print. And business cards are now used to introduce a person, organization, or business. The very first thing you need to do is create our art board. Scroll to locate the business card preset with the most common size for your geographic region. With your cursor loaded with the logo art, click at the intersection of the top and left margins and drag a rectangular frame. Click create new in the home screen. In this case we are embossing a business card, so our art board is 3.5 x 2 plus an 1/8 for bleed. If i had to pick one feature that most of our students are struggling with it would definitely be masking. Pick the rectangle tool (m) and focus on your t...
Komentar
Posting Komentar